book online contact us
01354 650 013 book online contact us

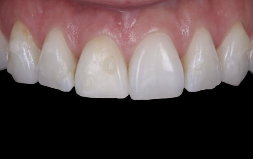
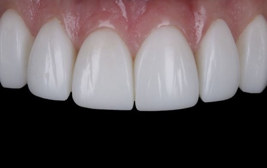
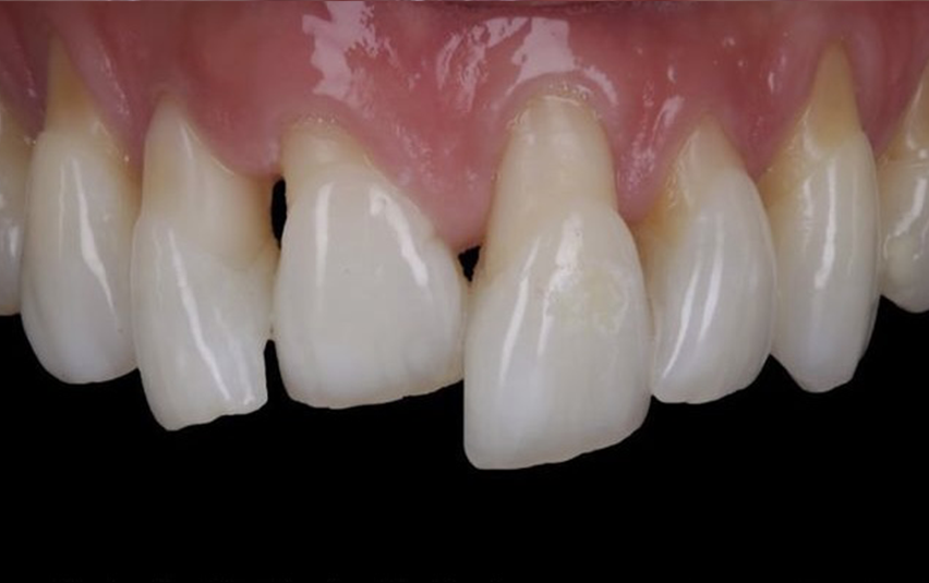
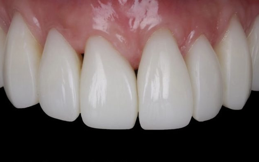
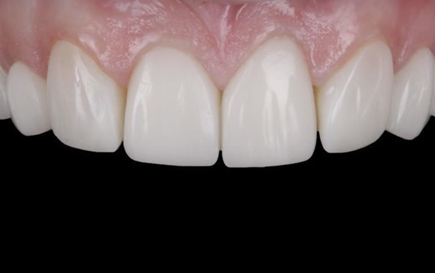
composite bonding is the process of applying tooth-coloured filling material to the front or edges of your teeth to alter their shape, size and colour.

it has become a very popular treatment in the recent few years and we are proud to be able to offer composite bonding in march dental. The composite can be added to the whole front surface of the tooth, also known as composite veneers or just to the edges, known as edge bonding, to make the teeth look more uniform in appearance, cover up tooth wear or repair chips and imperfections.

it is suitable for:

  • repairing chipped or broken teeth
  • covering up stains, discolouration or blemishes
  • covering up fracture lines
  • rebuilding teeth that have worn down edges or surfaces
  • improving the general appearance of teeth

it is a simple procedure that can most often be done without the need for injections or drilling and usually requires just one visit to complete.

frequently asked questions

how long does composite bonding last?

it usually lasts 5-7 years. it can chip if you knock or your teeth or have a grinding habit but can be repaired. over time, it may wear down or discolour and is likely to need removal and/or replacement after 5 years. we do advise you to have it polished regularly so it lasts longer and looks better.

can anyone have composite bonding?

it will depend on the health and appearance of your teeth. the dentist may advise you to have them straightened first for the best results. we do usually recommend you have them whitened before having them done to get the best results, especially if they are very uneven in colour.

how many teeth do you usually do it too?

we recommend about 6-10 teeth for best results but sometimes less will help you achieve the best smile. we do recommend doing them in even numbers though to achieve symmetry.

for more information regarding this treatment
contact us or call 01354 650 013
back to cosmetic dentistry.

get in touch

testimonials

“well what can i say, march dental is excellent. Hayley and Jodie were brilliant today. always very pleasant and reassuring and provide a good level… ”

julie conley

star 1

“dentist aedan & dental nurse natalie were amazing with us all especially with my 5 year old. as they explained every step and were extremely… ”

annemarie paley

star 1

“being a very nervous patient i was told by my partner that aedan nnochiri at this practice was the best dentist she had seen ever.… ”

ken thomson

star 1

“priti and emily were amazing. i had to have a tooth extraction and i was extremely anxious and nervous to the point i had been… ”

charlotte lawrence

star 1

“can't rate this place enough went here today for a tooth extraction emergency appointment. reception was lovley and the girls who did the extraction were… ”

joe cox

star 1

“following an emergency appointment on friday 04/05/21. i was seen by dan and megan, i was nervous, but felt reassured by their calming and professional… ”

lynne smith

star 1
view all testimonials
mob-bg-thumb

free perks

freeperk-thumb1

free initial consultation worth £95

freeperk thumb

free 3D scan worth £350

freeperk-thumb3

free whitening worth £295

freeperk-thumb4

free retainers worth £500

freeperk-thumb5

interest-free finance available

freeperk-thumb1

free initial consultation worth £95

freeperk thumb

free 3D scan worth £350

freeperk-thumb3

free whitening worth £295

freeperk-thumb4

free retainers worth £500

freeperk-thumb5

interest-free finance available

instagram instagram Instagram

thumb1 instagram
thumb2 instagram
thumb3 instagram
thumb4 instagram
thumb5 instagram
thumb6 instagram
thumb7 instagram
thumb8 instagram
contact us book online
Google Rating
4.6
Google Rating